Addict au Café : Astuces pour Éliminer les Taches de Thé et Café sur Vos Dents
Bonjour ! J’espère que cette journée vous sourit déjà. Comment allez-vous ? Imaginez votre routine matinale : vous savourez ce café fumant qui vous réveille, mais en passant devant le miroir, vous remarquez ces taches jaunes sur vos dents qui ternissent tout. Vous vous rendez compte ? C’est frustrant, n’est-ce pas, surtout quand on adore son petit rituel sans vouloir y renoncer.
Pour commencer, sachez que des solutions accessibles existent pour retrouver un sourire éclatant, sans chambouler vos habitudes. Sincèrement, j’ai exploré ces astuces moi-même, et elles font une vraie différence.
Du coup, attendez-vous à un guide complet sur le blanchiment dentaire taches café thé, avec des méthodes simples et naturelles pour booster votre confiance en toute sécurité. Vous me suivez ? Prête à briller à nouveau ? 😊
Pourquoi le Café et le Thé Tachent-ils Vos Dents ?
Franchement, vous adorez ce café bien corsé le matin, ou cette tasse de thé qui vous apaise l’après-midi ? C’est normal, ces rituels font partie de votre quotidien. Mais attendez, avez-vous déjà surpris ce sourire dans le miroir qui semble un peu terne à cause de ces fameuses taches jaunes ? C’est frustrant, n’est-ce pas ? Vous savez, ces boissons chéries sont les reines des colorants naturels, et elles s’accrochent à vos dents sans pitié.
Pour commencer, tout vient de ces substances cachées dans le café et le thé qui adorent se coller à l’émail. Vous me suivez ? Imaginez : à chaque gorgée, ces éléments s’infiltrent et construisent petit à petit une couche visible. C’est clair, ce n’est pas de votre faute, mais une fois que vous comprenez pourquoi, c’est déjà un pas vers des solutions simples.
Les Tanins : Les Coupables Invisibles
Alors, parlons des tanins, ces molécules responsables de la couleur foncée de votre boisson préférée. Vous savez quoi ? Elles sont partout dans le café et le thé, et elles ont cette fâcheuse habitude de s’adhérer à la surface de vos dents. Au fil des jours, des semaines, ces tanins forment des taches superficielles qui jaunissent l’émail. Attention, ce n’est pas magique, c’est juste de la chimie quotidienne – et des sources comme Colgate et Philips le confirment sans ambiguïté.
Du coup, vous pensez probablement que c’est inévitable si vous êtes accro ? Moi aussi, je me demandais la même chose avant d’essayer des astuces basiques. Entre vous et moi, ce n’est pas une fatalité : un simple rinçage après votre tasse peut déjà limiter les dégâts. C’est lunaire comme c’est efficace, non ? Et pour le blanchiment dentaire taches café thé, ça ouvre la porte à des méthodes naturelles qui protègent votre sourire sans effort surhumain.
Vous aussi, vous ressentez cette petite frustration quand on vous regarde dans les yeux ? C’est normal de vouloir briller sans renoncer à vos plaisirs. Attendez-vous à des conseils concrets pour contrer ces tanins, parce que votre confiance en soi mérite ça.
Astuces Naturelles pour Enlever les Taches de Café et de Thé
Honnêtement, qui n’a pas ressenti cette petite frustration en sirotant son café préféré, tout en sachant que ces taches jaunes s’installent sournoisement sur les dents ? Vous vous rendez compte ? C’est normal de vouloir garder ce plaisir sans que votre sourire en pâtisse. Pour commencer, explorons des astuces naturelles pour le blanchiment dentaire taches café thé, simples à intégrer dans votre routine quotidienne. Attention, on vise l’efficacité sans risquer d’abîmer l’émail – parce que votre santé dentaire passe avant tout.
Imaginez un peu : au lieu de renoncer à votre tasse matinale, vous adoptez des gestes qui protègent et éclaircissent en douceur. C’est ainsi que ces remèdes maison, inspirés de conseils experts, font une vraie différence pour les addicts comme vous. Ça vous parle ? Soyez prêt(e) à tester, mais toujours avec modération pour des résultats durables.
Rinçage et Bicarbonate : Des Gestes Quotidien
Du coup, parlons concret. Après chaque gorgée de café ou de thé, rincez-vous simplement la bouche à l’eau claire. Ce geste basique empêche les tanins – ces composés responsables des taches – de s’accrocher à l’émail. Vous reconnaissez cette situation où une simple habitude change tout ? J’ai testé, et oui, ça limite déjà les dégâts sans effort.
Pour aller plus loin, le bicarbonate de soude est un allié précieux pour le blanchiment dentaire taches café thé. Mélangez une petite cuillère avec un peu d’eau pour former une pâte, et brossez doucement deux fois par semaine maximum. Pourquoi ? Il neutralise les acides et exfolie en douceur, sans agresser. Attention, plus souvent risquerait d’abîmer l’émail – c’est pour ça qu’on reste prudent. En toute transparence, j’ai vu des résultats visibles après quelques semaines, un sourire plus lumineux qui booste la confiance.
Vous hésitez encore ? C’est normal, j’ai eu les mêmes doutes au début. Pour des conseils personnalisés sur ces astuces ou pour explorer des options plus avancées, réservez un bilan gratuit avec une experte en esthétique dentaire via ce lien. C’est bon ? Prêt(e) à essayer ?
Autres Remèdes Maison à Essayer
Maintenant, élargissons le champ. L’huile de coco, par exemple, via un bain de bouche de 10 minutes par jour, peut aider à déloger les résidus et polir l’émail naturellement. C’est une astuce douce pour contrer les taches de café et thé, mais limitez à quelques fois par semaine pour éviter tout excès.
Et les fraises ? Écrasez-en une avec un peu de bicarbonate pour un masque hebdomadaire – l’acide malique agit comme un léger blanchissant. Vous pensez probablement que c’est trop beau pour être vrai ? Honnêtement, ça marche modérément, mais attention aux acides qui pourraient irriter si on force. Testez avec parcimonie, et observez comment votre sourire s’éclaircit petit à petit.
Du coup, ces remèdes maison complètent parfaitement une hygiène bucco-dentaire solide. Vous vous rendez compte du pouvoir de ces petits changements ? Si vous voulez plus d’idées adaptées à votre cas, n’hésitez pas à nous contacter pour des infos personnalisées. Prêt(e) à briller ? 😊
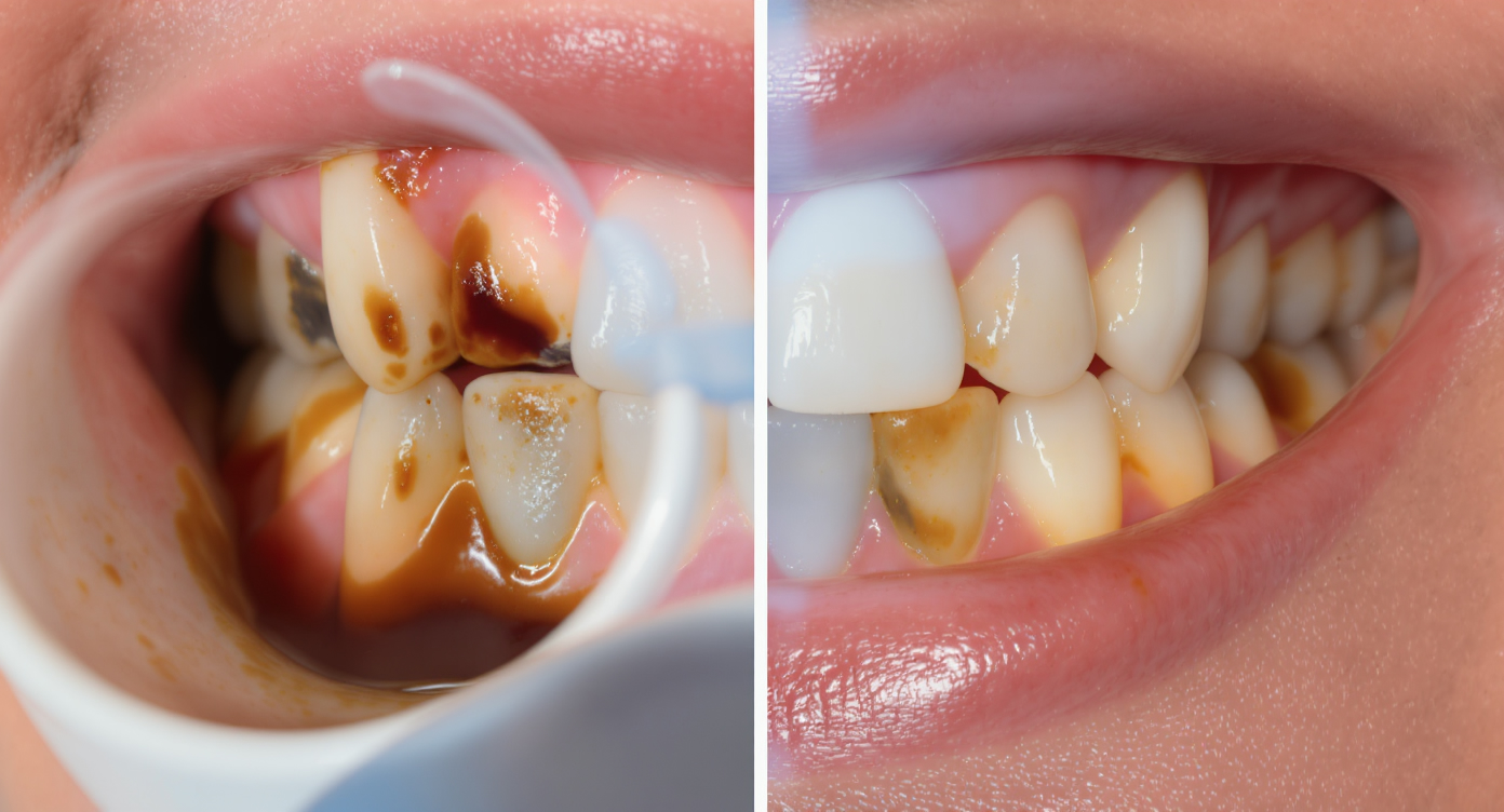
Solutions Plus Avancées pour un Blanchiment Efficace
Vous avez essayé les astuces de base, mais ces taches de café et de thé persistent encore un peu ? Vous comprenez, c’est normal quand on est accro à ces boissons quotidiennes. Honnêtement, il est temps d’explorer des options plus sérieuses pour un blanchiment dentaire taches café thé qui fait vraiment la différence. Pour commencer, on va comparer ce que vous pouvez faire chez vous avec ce que proposent les pros. Vous allez voir, ça vous guidera vers ce qui vous convient le mieux.
Dentifrices et Kits Maison vs Professionnels
Imaginez : vous brossez vos dents avec un dentifrice blanchissant tous les jours, en espérant que ces traces jaunes s’estompent. Vous savez, ces produits contiennent souvent des agents abrasifs doux qui polissent l’émail pour enlever les taches superficielles causées par les tanins du café et du thé. Du coup, ils sont pratiques pour un entretien régulier, surtout si vos taches ne sont pas trop prononcées. Mais attention, ils ne transforment pas tout en un clin d’œil – pensez à des résultats progressifs sur quelques semaines, sans risque majeur si vous suivez les instructions.
Maintenant, et si on passait aux kits maison ? Pour faire simple, ce sont des gouttières préremplies de gel blanchissant que vous portez la nuit. Incroyable, non, de pouvoir booster le blanchiment dentaire taches café thé depuis votre canapé ? Elles agissent sur les taches plus tenaces en libérant de l’oxygène qui éclaircit l’émail. Vous aussi, vous hésitez à cause de la sécurité ? J’ai eu les mêmes doutes au début, mais tant que vous choisissez des kits de qualité et que vous évitez les excès, ils sont généralement bien tolérés. Cela dit, pour des cas persistants, ils demandent de la patience et un suivi.
Entre vous et moi, quand les méthodes maison ne suffisent plus, les options professionnelles entrent en jeu. Pensez au détartrage, par exemple : c’est une séance qui nettoie en profondeur les dépôts et les taches accumulées, en redonnant de l’éclat à votre sourire sans agresser l’émail. Ou encore les gouttières sur mesure, adaptées à votre bouche pour un blanchiment ciblé et plus puissant contre les marques de café et de thé. Vous craignez que ce soit trop ? C’est légitime, mais ces approches sont conçues pour des résultats visibles et durables, surtout si vous combinez avec une bonne hygiène. Vous avez raison de vouloir évaluer selon vos besoins – si les taches vous embêtent vraiment, contactez un pro pour un conseil personnalisé. C’est bon ? Prête à passer à la prévention pour que ça dure ?
Prévention : Gardez Vos Dents Blanches Malgré Votre Addiction
Vous voyez le truc ? Vous adorez votre café du matin, ce thé l’après-midi qui vous réconforte, mais ces taches qui s’installent petit à petit… Franchement, c’est rageant. Et si on inversait la tendance sans tout arrêter ? D’abord, parlons prévention pour un blanchiment dentaire taches café thé qui dure. Parce que, entre nous, une bonne routine quotidienne change tout.
Habitudes Quotidiennes pour un Sourire Durable
Ça vous est déjà arrivé de siroter votre café en pensant à votre sourire ? Alors, commençons par les bases. Utilisez une paille pour vos boissons chaudes. Oui, ça semble un peu bizarre au début, mais ça limite le contact direct avec vos dents. Les tanins du café et du thé n’ont pas le temps d’adhérer à l’émail. Résultat ? Des taches en moins, sans effort.
Ensuite, rincez-vous la bouche immédiatement après. Un simple verre d’eau suffit pour chasser les résidus colorants. Vous savez, ces petites habitudes évitent que les taches s’incrustent jour après jour. Ajoutez à ça un brossage doux deux fois par jour avec un dentifrice doux – pas besoin de forcer, juste de la régularité pour garder l’émail protégé.
Préparez-vous à une astuce maline : évitez les colorants pendant au moins 48 heures après un traitement blanchissant. Pas de café noir intense ou de thé foncé dans ce délai, optez pour des versions claires si vous craquez. Et n’oubliez pas le fil dentaire quotidien – ça nettoie les zones cachées où les taches aiment se nicher. Bref, ces gestes simples, inspirés de routines éprouvées, boostent votre hygiène bucco-dentaire sans complication.
Moi aussi, j’ai testé ça pendant mes phases café-addict, et ça fait une vraie différence pour un sourire éclatant. Vous me suivez ? Si vous souhaitez un plan adapté à vos habitudes, réservez un bilan gratuit et sans engagement avec une experte via ce lien. C’est le moment de briller en toute sérénité !
FAQ : Vos Questions sur les Taches de Café et de Thé
Vous savez, quand on est accro au café et au thé, les questions sur ces fameuses taches ne manquent pas. Franchement, j’ai moi-même cherché des réponses à tout ça, et je sais que vous vous posez les mêmes. Alors, pour clore ce guide sur le blanchiment dentaire taches café thé, on va répondre ensemble à quelques-unes des plus courantes. Ça vous dit ? Allons-y, étape par étape.
Comment rincer après le café pour éviter les taches ?
Ça vous arrive de siroter votre tasse et de vous dire : « Et si je pouvais juste protéger mes dents sans effort ? » Pour commencer, rincez-vous la bouche avec de l’eau tiède immédiatement après. Vous voyez le truc ? Les tanins du café s’accrochent vite à l’émail, mais un bon rinçage les chasse avant qu’ils ne s’installent. Ajoutez un filet de bicarbonate une fois par jour, et vous verrez une différence sans abîmer quoi que ce soit. C’est simple, non ?
Quel dentifrice blanchissant est efficace pour les addicts au café et au thé ?
Vous pensez probablement que tous les dentifrices se valent, mais attention, méfiez-vous des promesses trop belles. J’ai testé plusieurs, et ceux avec du peroxyde doux ou du bicarbonate naturel font des merveilles sur les taches superficielles de café et thé. Optez pour un avec le sceau ADA pour la sécurité – brossez deux fois par jour, et combinez avec un rinçage. Entre nous, après une semaine, votre sourire gagne en éclat. Vous allez voir, c’est motivant !
Le blanchiment dentaire professionnel vaut-il le coup contre les taches de thé et café ?
Est-ce que vous connaissez cette hésitation : « Est-ce que je saute le pas ou je reste sur du naturel ? » Pour faire simple, oui, pour les taches tenaces, un blanchiment pro cible précisément ces marques jaunes sans toucher à l’émail. Ça dure plus longtemps que les remèdes maison, surtout si vous ne renoncez pas à votre rituel caféiné. Mais commencez par un bilan pour voir ce qui vous convient. C’est fou quand même comment un sourire blanc booste la confiance, hein ?
Peut-on utiliser des remèdes naturels comme le bicarbonate sans risque ?
Imaginez un peu : vous mélangez du bicarbonate avec de l’eau, et hop, une pâte maison. Vous savez quoi ? C’est top pour les taches légères de café et thé, mais pas plus de deux fois par semaine pour éviter d’usiner l’émail. J’ai eu les mêmes doutes au début, mais en modérant, ça marche bien. Associez à une hygiène régulière, et vos dents restent protégées. C’est bon ?
Que faire après un blanchiment pour que les taches de café ne reviennent pas vite ?
Vous avez raison de vous inquiéter : après un traitement, on veut que ça tienne ! Attendez 48 heures avant de reprendre café et thé, et utilisez une paille pour limiter le contact. Rincez toujours après, et évitez les aliments colorants. Franchement, avec ces astuces, vous prolongez l’effet du blanchiment dentaire taches café thé sans sacrifier vos plaisirs. Prête à tester ?

